Defeating a 40-year-old copy protection dongle

https://dmitrybrant.com/images/20260105204922.jpg
The user helped an accounting firm move away from legacy software and discovered a hardware copy-protection dongle required for an RPG compiler. The dongle's purpose was to verify a constant number stored in the BX register.

Teaching my neighbor to keep the volume down

https://cdn.idiallo.com/images/assets/601/hero.jpg
The author's family switched to Dish Network in 2007 due to lack of availability of their previous cable company. They initially used an RF remote but experienced interference issues with a noisy neighbor.

Lessons learned shipping 500 units of my first hardware product

https://substackcdn.com/image/fetch/$s_!1aA4!,w_1456,c_limit,f_auto,q_auto:good,fl_progressive:steep/https%3A%2F%2Fsubstack-post-media.s3.amazonaws.com%2Fpublic%2Fimages%2F2294cc1c-f983-4c0e-a45d-1a126eede358_490x610.png
The user launched their first hardware product, Brighter, a 50,000 lumens lamp, after quitting their software engineering job and faced numerous manufacturing and quality control issues. Despite these challenges, the user learned valuable lessons about the importance of detailed planning, rigorous testing, and effective communication in the hardware development process.

Netbird – Open Source Zero Trust Networking

https://netbird.io/_next/image?url=%2F_next%2Fstatic%2Fmedia%2Fsecure-remote-access-access-control-policy.d016dfdd.png&w=1920&q=75
NetBird provides a unified open source platform for secure connectivity with features like posture checks, MFA, and granular access control. It simplifies network management and eliminates complexity with its Zero Trust model and infrastructure-agnostic design.

Show HN: Craftplan – I built my wife a production management tool for her bakery

https://raw.githubusercontent.com/puemos/craftplan/main/screenshots/plan.webp
Craftplan is a business platform for artisanal manufacturing with tools for catalog management, inventory control, and production planning. It supports small-batch production and has features for allergen tracking and BOM versioning.

Show HN: NanoClaw – “Clawdbot” in 500 lines of TS with Apple container isolation

https://repository-images.githubusercontent.com/1146738089/6d3089da-11d6-4a31-ae00-8ec33e30c667
NanoClaw is a lightweight, secure, and customizable AI assistant that runs in Apple containers. It uses a small codebase and allows users to customize it with skills, eliminating configuration sprawl.

My iPhone 16 Pro Max produces garbage output when running MLX LLMs

https://journal.rafaelcosta.me/content/images/2026/01/original-39c7e1f432c4bda26535fd3e0b5cb7d5.webp
The iPhone 16 Pro Max had a hardware defect in its Neural Engine, causing incorrect numerical values in MLX LLMs. The issue was resolved with a new iPhone 17 Pro Max, confirming the hardware defect was specific to the iPhone 16 Pro Max.

What I learned building an opinionated and minimal coding agent

https://mariozechner.at/posts/2025-11-30-pi-coding-agent/media/header.png
The user created a unified LLM API called pi-ai with a terminal UI framework called pi-tui to simplify coding agent development, addressing issues with existing harnesses like Claude Code and Codex. The user's goal was to create a lightweight, customizable, and secure coding agent harness with a focus on simplicity, observability, and flexibility, which they achieved with pi-ai and pi-tui.

Adventure Game Studio: OSS software for creating adventure games

https://www.adventuregamestudio.co.uk/site/assets/img/games/2932_1.webp
AGS is open-source software for creating graphical point-and-click adventure games. It has a friendly community and offers free game creation with support for multiple platforms.

Ian's Shoelace Site

https://www.fieggen.com/shoelace/professor-shoelace-160.jpg
Ian Fieggen, also known as "Professor Shoelace", created Ian's Shoelace Site, a website about shoelaces with tutorials, photos, and interactive tools. The site has over 300 pages and offers various shoelace knots, lacing methods, and information on shoelace construction.

Claude Code: connect to a local model when your quota runs out

https://boxc.net/blog/wp-content/uploads/2026/02/claude_code_limit_new_option_header2-825x510.png
To avoid Anthropic quota limits, use a local open source model like GLM-4.7-Flash from Z.AI or Qwen3-Coder-Next in LM Studio. Connect Claude Code to LM Studio by following the instructions and setting environment variables.

List animals until failure

You have limited time, but get more time for each animal listed. When the timer runs out, that's game over. No overlapping terms. For example, if you list “bear” and “polar bear”, you get no point (or time bonus) for the latter. But you can still get a point for a second kind of bear. Order doesn't matter. initial time (s): time increment (s):

Archive.today is directing a DDoS attack against my blog?

https://gyrovague.com/wp-content/uploads/2026/02/image.png?w=300
archive.today used users as proxies for a DDOS attack against Gyrovague's blog, consuming resources with repeated requests to the blog's search function. The attack started around January 11, 2026, after a 2.5 year delay following a blog post about archive.today's history and tech stack.

Two kinds of AI users are emerging

https://martinalderson.com/img/future-of-work-flowchart.png
The author notes a significant difference between AI users, with "power users" adopting advanced AI technology like Claude Code and others sticking to basic chatbots. This gap is causing productivity disparities between smaller companies and enterprises.

Apple I Advertisement (1976)

http://apple1.chez.com/Apple1project/Gallery/Apple1pub.jpg
The Apple Computer is a complete microcomputer system on a single board with built-in video terminal and 8K bytes of RAM memory. It's a powerful and affordable system for developing programs, playing games, and running BASIC.

Pretty soon, heat pumps will be able to store and distribute heat as needed

https://www.sintef.no/remote/norwegianscitechnews.com/wp-content/uploads/2025/12/galina-holder-salthydrater.jpg?width=960&mode=crop&scale=both&quality=80
Researchers at SINTEF and COWA Thermal Solutions have developed a thermal battery that stores heat from heat pumps, allowing for smarter and more efficient heating systems. The battery uses salt hydrates and can store up to four times more heat than a traditional hot water tank, reducing energy consumption and costs.

Sqldef: Idempotent schema management tool for MySQL, PostgreSQL, SQLite

https://sqldef.github.io/sqldef512.png
sqldef is a CLI tool for diffing two SQL schemas. You can use it to manage the migration of RDBMSs using regular SQL DDLs. The online demo uses the WebAssembly build of sqldef to diff two SQL schemas and generate DDLs.

FOSDEM 2026 – Open-Source Conference in Brussels – Day#1 Recap

https://cdn.gyptazy.com/img/fosdem2026-sovereignity.jpg
FOSDEM 2026 focused on digital sovereignty, open infrastructure, and community-driven software, with a growing awareness of Europe's technological future. The conference highlighted the importance of independence, sustainability, and control in open source software.

TIL: Apple Broke Time Machine Again on Tahoe

https://taoofmac.com/media/til/2026/02/01/1630/fY_oAYhU-aPe6gdiXpboLe7GTwI=/image.png
User's Obsidian vault was lost due to a Time Machine failure on their Synology NAS. They found the issue was caused by Apple's changed SMB defaults and fixed it by editing the nsmb.conf file or using a Docker solution with the mbentley/timemachine image.

The Book of PF, 4th edition

https://nostarch.com/sites/default/files/styles/uc_product/public/BookPF4e_frontcover.jpg?itok=3Tg_X_Fn
Peter Hansteen is a DevOps consultant and writer based in Norway, known for his work on OpenBSD and FreeBSD. He wrote "The Book of PF" a comprehensive guide to PF configuration and network security.

Cells use 'bioelectricity' to coordinate and make group decisions

https://www.quantamagazine.org/wp-content/uploads/2026/01/BioelectricTissue-crKingsCollegeLondon-Still.mp4-scaled.jpg
Cells use electrical signals to coordinate behavior and maintain health by ejecting sick or struggling cells from tissue. This process, called extrusion, helps keep tissues healthy and prevents disease, including cancer and asthma.

1-Click RCE to steal your Moltbot data and keys

https://cdn.prod.website-files.com/691d9445275873e3d3fc4279/697f8d4b908591cf3f915319_Screenshot%202026-01-31%20at%207.19.02%E2%80%AFPM.png
A critical vulnerability was found in OpenClaw, an open-source AI personal assistant, allowing a single visit to a malicious webpage to hack a user's computer and AI assistant. The vulnerability was patched by the OpenClaw team, and users are advised to upgrade their OpenClaw and rotate tokens if they suspect theirs may have leaked.

Fela Kuti First African to Get Grammys Lifetime Achievement Award

https://www.aljazeera.com/wp-content/uploads/2019/01/c277b8e3c94f4e3aba38a29512b92829_18.jpeg?resize=730%2C410&quality=80
Fela Kuti, the "father of Afrobeat," received a posthumous Lifetime Achievement Award at the Grammys, becoming the first African to do so. The recognition is seen as a step towards fairly acknowledging African musicians and artists, but some feel it has come late.

Heritability of intrinsic human life span is about 50%

Resurrecting Crimsonland – Decompiling and preserving a cult 2003 classic game

https://banteg.xyz/posts/crimsonland/cl2-development-shot-01.jpg
A person has successfully decompiled and rewritten the 2003 game Crimsonland from scratch using a combination of tools and AI models, aiming to preserve the original game's behavior and mechanics exactly. The project took two weeks and 1666 commits, with the goal of creating a working and thoroughly documented reimplementation that is faithful to the original game.

There Will Come Soft Rains (1950) [pdf]

A house in Allendale, California, stood alone after a nuclear disaster, its walls now a glass window to a fantasy world. The house's automated systems continued to function, but ultimately succumbed to a fire that destroyed it.

Margin Call

https://asymco.com/wp-content/uploads/2026/02/image-5-620x539.png
Apple's gross margin rose to 48.2% in the last quarter, driven by favorable mix and leverage. The company expects to maintain a similar margin range of 48-49% in the next quarter despite potential memory inflation.

A Broken Heart

https://allenpike.com/images/2026/profile-banner.jpg
The user's web app dashboard was loading slowly due to a frontend problem, specifically a slow layout caused by the use of Noto Color Emoji in Safari. A coding agent, Claude, helped the user identify and isolate the issue, and a minimal repro case was created to submit to the Safari bug tracker, where it was acknowledged as a bug within CoreSVG.

English professors double down on requiring printed copies of readings

We're verifying your browser Website owner? Click here to fix

Amiga Unix (Amix)

https://www.amigaunix.com/lib/exe/fetch.php/amix_ebay_2020.jpg?w=500&tok=8084ae
Amiga UNIX, also known as Amix, is a port of AT&T System V Release 4 Unix to the Amiga in 1990. It's an interesting piece of history but not suitable for modern use due to its outdated nature and lack of updates.

Remarkable Pro Colors

https://www.thregr.org/wavexx/rnd/20260201-remarkable_pro_colors/images/small/proof.jpg
The user purchased a Remarkable Pro to use alongside their Remarkable 2 for reading and writing, but was disappointed with the pen precision and pressure curve. They created a color profile to improve color accuracy on the Pro.

A Crisis comes to Wordle: Reusing old words

https://bear-images.sfo2.cdn.digitaloceanspaces.com/herman-1683556668-0.png
The New York Times announced that Wordle will reuse some words from previous years starting February 2. This move has caused a stir in the Wordle community, with some players questioning the decision and considering stopping.

How to Scale a System from 0 to 10M+ Users

https://substackcdn.com/image/fetch/$s_!Xhwe!,w_1456,c_limit,f_auto,q_auto:good,fl_progressive:steep/https%3A%2F%2Fsubstack-post-media.s3.amazonaws.com%2Fpublic%2Fimages%2F996b8082-9df2-4e4f-82b2-b1c7d87d7894_1276x760.png
Scaling a system from zero to 10 million users involves incremental growth through 7 stages, starting with a simple architecture and adding capacity as usage grows. Key optimizations include resource isolation, caching, read replicas, auto-scaling, and microservices, with the goal of achieving true statelessness and scalability.

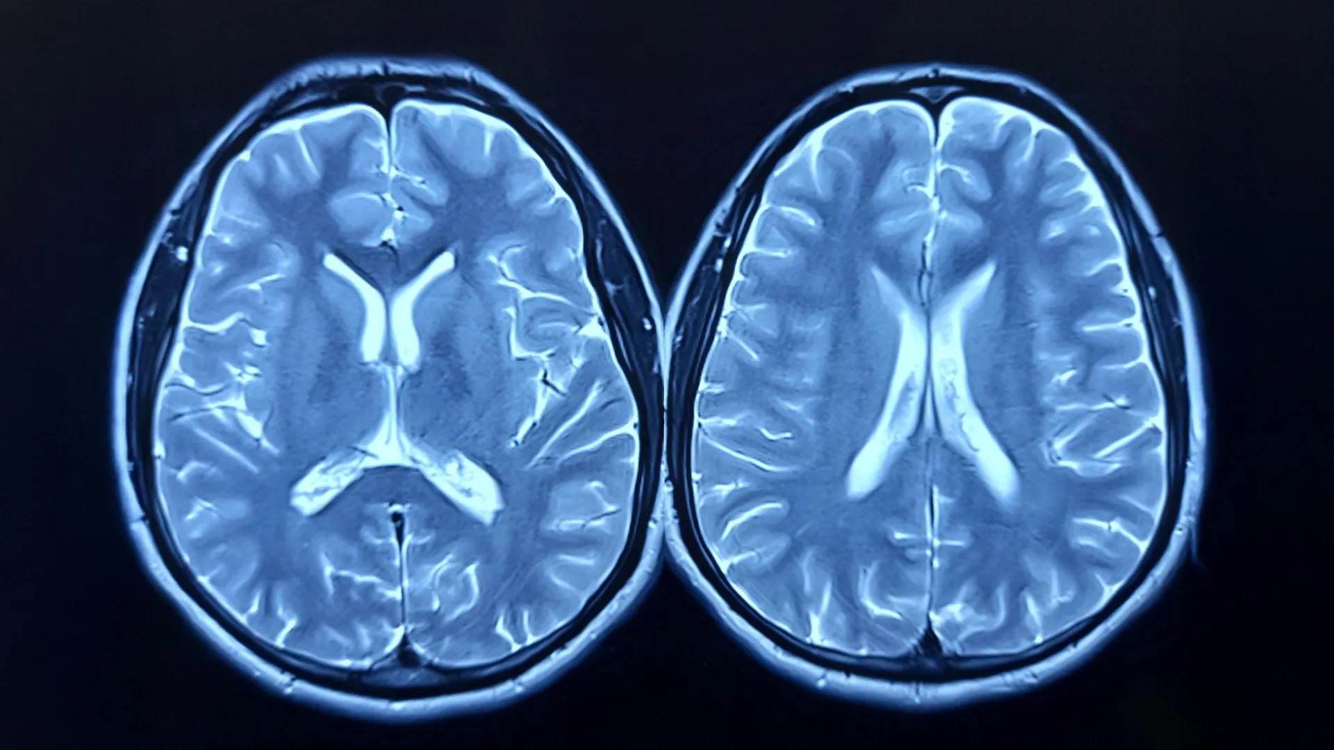
MRI scans show exercise can make the brain look younger

https://www.sciencedaily.com/images/1920/comparison-mri-brain-scans.webp
Regular aerobic exercise can help keep the brain biologically younger by reducing brain age by nearly one year in adults. This effect may support clearer thinking, better memory, and overall mental well-being.

Listen to Understand

https://talk.bradwoods.io/ogImage.jpg
You discussed how you used to respond to your girlfriend's problems by talking about yourself or giving advice, but then you found a new approach by actively listening to understand her. This approach helped you connect with her on a deeper level and made her feel safe to share her thoughts and feelings.

High-Altitude Adventure with a DIY Pico Balloon

https://spectrum.ieee.org/media-library/a-printed-circuit-board-attached-to-two-small-solar-panels-hangs-beneath-a-balloon.png?id=63339900&width=1200&height=1354
Amateur balloonists use superpressure balloons called pico balloons, which can last months and travel long distances, reporting their position. Pico balloons are inexpensive, lightweight, and use amateur-radio network WSPR for global tracking without satellites.

Treasures found on HS2 route

https://ichef.bbci.co.uk/news/480/cpsprodpb/74de/live/1ad8b940-fd05-11f0-9f4b-95ef5573d840.jpg.webp
Archaeologists have uncovered 450,000 objects along the HS2 train line route, including a 40,000-year-old hand axe and Roman gladiator's tag. The finds will provide new insights into Britain's past, but the project's future and ownership of the objects are still undecided.

Simply Scheme: Introducing Computer Science (1999)

https://people.eecs.berkeley.edu/~bh/simply.jpg
The book is available online for personal use, with PDF and HTML versions. It is copyrighted and not for resale or redistribution.

Building Your Own Efficient uint128 in C++

We implement a 128-bit unsigned integer as two 64-bit limbs using x64 intrinsics for carry, borrow, and multiply operations. The generated code is on par with the built-in __uint128_t for addition, subtraction, multiplication, and comparison.

Coding Agent VMs on NixOS with Microvm.nix

https://michael.stapelberg.ch/posts/2026-02-01-coding-agent-microvm-nix/2026-01-28-neofetch-featured_hu_d06e7aa7176833b3.png
The user wants to safely run coding agents without access to personal files by using ephemeral Virtual Machines (VMs) on NixOS. They use the microvm.nix project to create VMs with no persistent data, accessible through SSH.

Towards a science of scaling agent systems: When and why agent systems work

https://storage.googleapis.com/gweb-research2023-media/original_images/AgentScaling3_TaskPerformanceHERO.png
Researchers studied how to design AI agents for optimal performance, challenging the assumption that more agents are better. They found that agent performance depends on task properties and architecture, and developed a predictive model to identify the optimal coordination strategy.

Contracts in Nix

The Nix contract library provides a way to add runtime type checking to Nix code using "validators" and "contracts" that can be used to define and enforce type constraints. This library allows for lazy evaluation and customizable error messages, and can be used to improve the readability and correctness of Nix code.

Reimplementing Tor from Scratch for a Single-Hop Proxy

https://foxmoss.com/_astro/kurrat.DtO8OrkL_1Aqsr4.webp
The user created a CLI app to connect directly to a Tor exit node without using the Tor circuit, but found that Tor blocks direct connections to exit nodes. They successfully implemented a Tor relay node, obtained keys, and connected to an exit node, achieving faster speeds than using Tor's circuit.

Iran summons families of exiled journalists to halt their activities

https://i.iranintl.com/images/rdk9umy0/production/d1cd36b4a1903f2a4a4f23a1137e7e2cde3a8023-1024x572.jpg?rect=125,0,763,572&w=576&h=432&q=80&fit=max&auto=format
Iran's state broadcaster IRIB removed the director of Ofogh TV after a host made sarcastic remarks about the January 8-9 crackdown victims. The incident reignited criticism of IRIB's biased and insensitive reporting, with many calling for deeper accountability.

Aging muscle stem cells shift from rapid repair to long-term survival

This page will redirect in a moment...

Programming Patterns: The Story of the Jacquard Loom (2019)

https://www.scienceandindustrymuseum.org.uk/sites/default/files/styles/her/public/2019-06/Jacquard-cards-1.jpg?h=b69e0e0e&itok=bFPG3qUr
The Jacquard loom has been adopted in this country with 7,000 to 8,000 units. It can weave various patterns, including flowers, leaves, and algebraic designs, on different fabrics and materials.

Oregon gave homeless youth $1k/month with no strings

https://www.oregonlive.com/resizer/v2/I6HGRS3EIVGRTEICOQBRX46ZOI.jpeg?auth=d830fb6282535cfc319457dd1d6b8178ceab54d2865c0a14260af4678e4e36f9&width=1280&smart=true&quality=90
Oregon's pilot program providing $1,000 monthly to homeless youth aged 18-24 resulted in 94% being housed by the end of two years. The program's success has led to expansion to a second cohort in Jackson County with funding from legislative appropriations and a nonprofit grant.

Lily Programming Language

This code defines a Reverse Polish Notation (RPN) parser that evaluates mathematical expressions. It uses a stack to store operands and performs operations based on the input string.

Show HN: Zuckerman – minimalist personal AI agent that self-edits its own code

https://raw.githubusercontent.com/zuckermanai/zuckerman/main/company/design/logo.png
OpenClaw is a self-growing AI agent that edits its own code and improves in real-time, sharing improvements with others. It's a collaborative ecosystem with a lightweight OS layer and customizable agents that rewrite themselves for real-time self-improvement.

Launching My Side Project as a Solo Dev: The Walkthrough

https://alt-romes.github.io/images/kanjideck/IMG_8050.webp
The user successfully launched Kanjideck, a Japanese Kanji learning resource, on Kickstarter after overcoming various challenges, including manufacturing and testing a physical product, setting up a company, and marketing the project. With the help of their sister and partner, the user was able to launch the project and raised over $15,000 from 254 backers, exceeding their initial expectations.

We (As a Society) Peaked in the 90s

https://pagecord.com/cdn-cgi/image/width=160,height=160,format=webp,quality=90/https://storage.pagecord.com/5yz6mbwh7hyaulx0cnv6xqaio5do
The writer thinks the late 90s were a peak time for balance and human connection, with music, technology, and life moving at a slower pace. They miss the tangible, authentic experiences and the sense of community that came with it.

Flying Around the World in under 80 Days

https://pinchito.es/2026/pics/avis-lxxx-concept.jpg
A team aims to build an autonomous airship drone to circumnavigate the world in under 80 days, using solar power and hydrogen gas. The project faces challenges such as hydrogen leakage, air density changes, and navigating through hostile territories.

Apple-1 Computer Prototype Board #0 sold for $2.75M

https://cdn.rrauction.com/auction/734/medium/3509024_2.jpg
The "Celebration" Apple-1 is a unique, pre-production board validating the Apple-1 design before commercial production. It's a fiberglass prototype assembled by Steve Jobs and Steve Wozniak, marking Apple's transition to a manufacturable product.

OpenClaw: When AI Agents Get Full System Access. Security nightmare?

https://innfactory.ai:443/images/team/tobias-jonas.jpg
OpenClaw is an open-source AI assistant that runs on user hardware with full system access, generating hype but also raising security concerns. Users must exercise caution and use a sandbox to isolate the agent from their system to prevent potential security incidents.

OpenClaw security assessment [pdf]

You are a personal assistant running inside Clawdbot. You follow a modular architecture with Just-In-Time skill loading logic, structured reasoning, and memory retrieval protocols.

50 years ago, a young Bill Gates took on the 'software pirates'

https://cdn.thenewstack.io/media/2026/01/d37418c2-1280px-heckert_gnu_white.svg1_-300x293.png
Bill Gates wrote an open letter in 1976 complaining about software piracy, but it sparked a controversy that shaped the world of software development. The letter led to a rift between commercial software developers and hobbyists, ultimately contributing to the creation of the open-source movement.

Light exposure and aspects of cognitive function in everyday life

https://media.springernature.com/w215h120/springer-static/image/art%3A10.1038%2Fs41598-022-25336-6/MediaObjects/41598_2022_25336_Fig1_HTML.png
Researchers studied 58 UK adults to examine the relationship between real-world light exposure and cognitive performance. They found significant associations between recent light exposure and subjective sleepiness, reaction times, and cognitive performance across various tasks.

Kiki – Accountability monster for people who are easily distracted

https://framerusercontent.com/images/aPwRniDThjJF58UYGyxmjRfKl0.png?width=721&height=241
Kiki is a tool that blocks distracting apps to help users focus on a single task. It shows how focused you were each session and over time, helping you stay productive.

I built a search engine to index the un-indexable parts of Telegram

https://telehunt.org/logo.png
TeleHunt is a verified Telegram bot directory with thousands of bots in various categories. It helps users discover and add bots to Telegram with detailed reviews and ratings.

Sparse File LRU Cache

https://blogger.googleusercontent.com/img/a/AVvXsEg4o-6geSoMG028Z1RNs94JDdo3hxsV4iqwWYGu_ljkriUnBd2oDYXBlv1Wf1Deh1-460AdxUIRZ3HMDxR-u3wxFsOZQBeTZgCetzYE-Pvk2Wxw_Uy43PmdPWyz4txPxw9EXrg7F7pTSqHtD0HjrMxDDxDCdg-KWTudozoVwEhVyMyclkwP0zraKi2lwRM5=w518-h324
Sparse files allow efficient caching of columnar data by storing only used columns on disk. This approach reduces S3 GETs, file system metadata, and IOPS, improving query system performance.

Procedures for Repair of Potholes in Asphalt-Surfaced Pavements

You don't have permission to access "http://highways.dot.gov/media/7941" on this server.

Show HN: Voiden – an offline, Git-native API tool built around Markdown

https://raw.githubusercontent.com/VoidenHQ/voiden/main/apps/electron/public/start.png
Voiden is an offline API client for developers, allowing them to build, test, and link API requests locally. It supports various operating systems and has a GitHub repository for installation and troubleshooting.

Data Poems

https://dr.eamer.dev/datavis/poems/forget-me-not/social-share.png
Short stories I tried to tell with numbers.

Pong Cam – My ESP32S3 Thinks It's a WebCam

https://www.atomic14.com/assets/article_images/2026-02-01/test-card.webp
The ESP32-S3 acts as a USB webcam using the UVC protocol, generating frames in software and sending them over USB. It can display static images, animated GIFs, and real-time games like Pong.

Real engineering failures instead of success stories

https://substackcdn.com/image/fetch/$s_!LnM9!,w_1456,c_limit,f_auto,q_auto:good,fl_progressive:steep/https%3A%2F%2Fsubstack-post-media.s3.amazonaws.com%2Fpublic%2Fimages%2F042288a0-f6d8-496f-b425-dc499494cca0_1536x639.png
FailHub shares real engineering failures to help others learn from mistakes. Three stories highlight the importance of clear boundaries, explicit goals, and considering project constraints to avoid poor results.

U.S. life expectancy hits all-time high

https://static.scientificamerican.com/dam/m/765b8bff50307f64/original/life-expectancy-2024_graphic_leadImage.png?m=1769708995.541&w=600
US life expectancy rose to 79 years in 2024, a half-year increase from 2023, but still lower than most developed countries. The death rate decreased, but experts warn of stagnating improvements due to rising cardiometabolic risk factors like high blood pressure and obesity.

ICE protester says her Global Entry was revoked after agent scanned her face

https://cdn.arstechnica.net/wp-content/uploads/2026/01/ice-protest-640x427.jpg
Nicole Cleland, a Minnesota resident, had her Global Entry and TSA Precheck privileges revoked after she observed and followed immigration agents. She believes the revocation was a form of intimidation and retaliation for exercising her right to observe federal agents.

The TV industry concedes that the future may not be in 8K

https://cdn.arstechnica.net/wp-content/uploads/2026/01/Desktop_01-1-640x440.jpg
LG Display has stopped making 8K LCD and OLED panels, and other brands like TCL and Sony have also discontinued their 8K TV lines due to low demand. Despite initial hype, 8K TVs have failed to gain traction, with only 1.6 million sold since 2015, compared to nearly 1 billion 4K TVs in use.

'Right-to-Compute' Laws May Be Coming to Your State This Year

https://www.vktr.com/-/media/ec3e4f5d3d5343f984708e27ee5d045c.ashx
Montana passed the first "right-to-compute" law shielding AI from regulation, with similar bills spreading to other states. Critics warn this broad definition could make AI oversight vulnerable to legal challenge.

Another London: Excavating the disenchanted city

https://wp.harpers.org/wp-content/uploads/2026/01/CUT-13_cropped-223x300.jpg
The author reflects on London's complex history and psychogeography, tracing its roots to ancient myths and the Situationist International's avant-garde movement.

Show HN: Apate API mocking/prototyping server and Rust unit test library

https://repository-images.githubusercontent.com/1075241504/8a0f09c1-6904-421f-a349-75c9b698af84
Apate is a stable API prototyping and mocking server for integration and end-to-end testing, allowing predictable API endpoints and fast response times. It can be run locally, integrated into applications, or used with CLI arguments and TOML specs for configuration.

Show HN: SymDerive – A functional, stateless symbolic math library

A physicist turned quant created SymDerive, a symbolic math library for humans and AI agents. It's a functional wrapper around SymPy, PySR, and CVXPY, providing a modular, pipe-based workflow with physics tools and optional installs.

Why we need to know about CORS (2020)

https://evan-moon.github.io/static/34d40d58a5f3a94ac3dce372aa54cd71/c08c5/what.jpg
CORS policy is a security feature that restricts web applications from accessing resources from different origins, preventing malicious attacks such as CSRF and XSS. To safely use resources with different origins, developers can set a valid value in the Access-Control-Allow-Origin header in the server or use a proxy feature like Webpack to bypass CORS policy in a local development environment.

Pre-Steal This Book (2008)

https://seths.blog/wp-content/themes/godin/img/seth.webp
Author Harry Harrison was upset with Michael Crichton for writing a similar novel, The Andromeda Strain, before Harrison could publish his own. This story suggests that innovation often builds on existing ideas.

Working example of a Yocto setup without unnecessary complications

https://opengraph.githubassets.com/51bc30f315096f127967bfb760f38359b710bad94d23605a3d460dc118231066/bootlin/simplest-yocto-setup
This repository provides a simple Yocto/OpenEmbedded build environment for product companies. It uses the kas utility to download and enable third-party components.

US, UK, EU, Australia and more to meet to discuss critical minerals alliance

https://i.guim.co.uk/img/media/3e2a11948aefedfb837b71c8f8c3c141f3fce066/819_0_4393_3515/master/4393.jpg?width=465&dpr=1&s=none&crop=none
Ministers from 20 countries will meet in Washington to discuss a strategic alliance over critical minerals and de-risk from China. The summit aims to strengthen supply chains and potentially include a US guarantee of minimum prices for critical minerals.

I dropped my Google Pixel 9 XL Pro from 6th floor balcony to the street

I visited a friend's place and had a great time, then took a late-night phone photo of the moon from my 6th floor balcony. My phone miraculously survived a 6-story drop, but I've fixed many phones before, including my own Samsung models.

The philosophy behind ODF: openness, freedom and control – TDF Community Blog

https://blog.documentfoundation.org/wp-content/uploads/2016/12/ODF_220-03a.png
The Open Document Format (ODF) is an open standard for office documents that promotes user freedom, control, and long-term access. It ensures documents remain readable and accessible over time, regardless of software changes or vendor control.

CG/SQL – SQL dialect compiler to C for sqlite3 mimicking stored procedures

SQLite Stored Procedures Compile SQLite stored procedures into C

History and Timeline of the Proco Rat Pedal (2021)

https://wiki.archiveteam.org/images/e/e6/Archiveteam.jpg
ProCo Sound Inc. was founded in 1974 by Charlie Wicks, and the RAT distortion pedal was designed by Scott Burnham in 1977 or 1978, with the first production units being the Bud Box RAT in 1978. The RAT underwent various design changes and cosmetic updates over the years, including the introduction of the TurboRAT in 1989, which featured a new enclosure and circuit design, and the Vintage ...

A Collection of Awesome Nostr Projects

https://camo.githubusercontent.com/79b72d6433292d1d0e474bbf3581032fe7fdbb31ad4f9290d596258435f96307/68747470733a2f2f636f6e747269622e726f636b732f696d6167653f7265706f3d616c6a617a636572752f617765736f6d652d6e6f737472
Nostr is an open protocol for censorship-resistant global networks, with various tools and applications built on top of it, including relays, clients, and services for content sharing, bookmarking, and more. The Nostr ecosystem has a wide range of projects and tools, from simple clients and relays to complex services and applications, all working together to enable decentralized social ...

Average Is over with AI

https://substackcdn.com/image/fetch/$s_!G1N8!,f_auto,q_auto:best,fl_progressive:steep/https%3A%2F%2Farnoldkling.substack.com%2Ftwitter%2Fsubscribe-card.jpg%3Fv%3D-1648025785%26version%3D9
Tyler Cowen's book Average is Over predicts winners in the age of AI will be those who can work effectively with machines, leveraging their skills to thrive. Those who resist AI or lack internal pressure to be high achievers will be left behind with lower income and status.

NCR Tower 1632 – Computer Ads from the Past

https://substackcdn.com/image/fetch/$s_!ga68!,w_1456,c_limit,f_auto,q_auto:good,fl_progressive:steep/https%3A%2F%2Fsubstack-post-media.s3.amazonaws.com%2Fpublic%2Fimages%2F7bbb0ee3-1e64-46e2-a18f-a80707a03f98_1900x1302.png
NCR Corporation introduced the Tower 1632, a 16-bit multiuser and multitasking computer based on the Motorola 68000 microprocessor. It supports up to 16 users and has a list price of less than $12,500.

Pancreatic cancer researchers' latest breakthrough could help tumors disappear

https://nypost.com/wp-content/uploads/sites/2/2026/01/pancreatitis-pancreatic-cancer-asian-doctor-120011742.jpg?w=1024
Spanish researchers developed a triple therapy that eliminates pancreatic tumors in mice with minimal side effects by targeting KRAS at three points. The therapy may improve survival for pancreatic cancer patients, paving the way for new treatments.
The platform provides comprehensive legal research tools with real-time research and cited claims, accessible to law students, lawyers, and individuals. It offers features like Case Chat and Case Search with free tier access to AI models and subsidized by enterprise functions.

Same SQL, Different Results: A Subtle Oracle vs. PostgreSQL Migration Bug

https://databaserookies.wordpress.com/wp-content/uploads/2026/01/image-3.png?w=1024
A production bug was caused by implicit type conversion in Oracle SQL, which was not replicated in PostgreSQL due to explicit casting. The issue was resolved by making types explicit and rewriting the logic to work consistently across both databases.

Same Radio, Different Citizens

https://substackcdn.com/image/fetch/$s_!XF18!,w_1456,c_limit,f_auto,q_auto:good,fl_progressive:steep/https%3A%2F%2Fsubstack-post-media.s3.amazonaws.com%2Fpublic%2Fimages%2F2e4013c1-e72c-477d-a5b0-1998c39f137f_1620x1080.png
The authors argue that technology's impact on human judgment and autonomy depends on its institutional and economic implementation, not just its design, and that funding models shape what kind of citizens can emerge. They propose two tests, the Transparent Choice Test and the Candid Aim Test, to evaluate whether a product or system cultivates human judgment and autonomy, and suggest that ...

Triton Bespoke Layouts

https://www.lei.chat/posts/triton-bespoke-layouts/block-64x128-1x8-16x4-2x2-order10.png
Bespoke layouts in Triton are tailored to specific needs and are used for global memory access and tensor/matrix core computation, while linear layouts provide a generic mechanism for optimizations. Bespoke layouts include blocked, shared, and MMA layouts, which are used to describe ownership patterns and optimize memory access, and are still used alongside linear layouts for high-performance ...