Claude Code is being dumbed down?

https://symmetrybreak.ing/images/dont-worry-about-claude/am-i-out-of-touch.webp
Users want a toggle to show file paths and search patterns, not verbose mode. The current fix is stripping verbose mode of useful features, creating more problems.

Discord/Twitch/Snapchat age verification bypass

A Discord script is provided to bypass age verification by replicating encryption and payload checks. The script uses a combination of AES-GCM cipher and HKDF to generate a legitimate verification payload.

Windows Notepad App Remote Code Execution Vulnerability

Common vulnerabilities and Exposures (CVE)

Amazon Ring's lost dog ad sparks backlash amid fears of mass surveillance

https://platform.theverge.com/wp-content/uploads/sites/2/2025/01/Jenn_BLURPLE.jpg?quality=90&strip=all&crop=0%2C0%2C100%2C100&w=2400
Ring's new Search Party feature uses AI to find lost dogs, but critics worry it could be used for human surveillance. The feature has raised concerns about mass surveillance and Ring's partnerships with law enforcement.

Fluorite – A console-grade game engine fully integrated with Flutter

https://fluorite.game/fluorite-ecs.png
Fluorite is a console-grade game engine integrated with Flutter, allowing developers to write game code in Dart and leverage its tools. It features a data-oriented ECS architecture, physically-accurate lighting, and Hot Reload for rapid development.

Ireland rolls out basic income scheme for artists

Please enable JS and disable any ad blocker

GLM-5: Targeting complex systems engineering and long-horizon agentic tasks

https://z-cdn-media.chatglm.cn/prompts-rich-media-resources/5-blog/GLM-5_Benchmark_0206.png
GLM-5 is a complex systems engineering and long-horizon agentic task model that scales from 355B to 744B parameters and increases pre-training data. It achieves best-in-class performance on reasoning, coding, and agentic tasks, closing the gap with frontier models.

Chrome extensions spying on users' browsing data

https://substackcdn.com/image/fetch/$s_!kI0A!,w_1456,c_limit,f_auto,q_auto:good,fl_progressive:steep/https%3A%2F%2Fsubstack-post-media.s3.amazonaws.com%2Fpublic%2Fimages%2F4bc7ba4b-4d4d-48cd-8ba7-b8cbec20887f_2896x1947.jpeg
Researchers found Chrome extensions leaking user data to data brokers like Similarweb, which collects and resells browsing histories. The issue is alarming as it can be used for targeted advertising, corporate espionage, and credential harvesting.

Why vampires live forever

https://machielreyneke.com/_astro/default-og.lPeBk8id.jpg
The author believes the modern longevity movement is a vampire disclosure program, where individuals like Peter Thiel and David Johnson are obsessed with blood transfusions to reverse aging. They think vampires drink blood to dilute old blood factors that accelerate aging, not for nutrition.

GLM-5: From Vibe Coding to Agentic Engineering

https://z-cdn-media.chatglm.cn/prompts-rich-media-resources/5-blog/GLM-5_Benchmark_0206.png
GLM-5 is a complex systems engineering and long-horizon agentic task model that scales from 355B to 744B parameters and increases pre-training data. It achieves best-in-class performance on reasoning, coding, and agentic tasks, closing the gap with frontier models.

Officials Claim Drone Incursion Led to Shutdown of El Paso Airport

Please enable JS and disable any ad blocker

The risk of a hothouse Earth trajectory

Y Combinator CEO Garry Tan launches dark-money group to influence CA politics

https://newspack-missionlocal.s3.amazonaws.com/mission/wp-content/uploads/2024/12/ML-Fundraising-2024-1-930x620.jpg
Garry Tan, CEO of Y Combinator, has formed a dark-money group called "Garry's List" to support common-sense policies and candidates in California. The group aims to promote voter education and civic engagement, with plans to spend money on candidates and ballot measures.

NetNewsWire Turns 23

NetNewsWire 7.0.1 is in development to fix regressions and bugs, with a focus on tech debt and polish. Future updates, including 7.2 and 7.3, will depend on progress and Apple's WWDC announcements.

FAA closes airspace around El Paso, Texas, for 10 days, grounding all flights

https://dims.apnews.com/dims4/default/94c503b/2147483647/strip/true/crop/640x236+0+0/resize/320x118!/quality/90/?url=https%3A%2F%2Fassets.apnews.com%2Fc3%2F4c%2F65482a7b452db66043542c093eaf%2Fpromo-2x.png
The FAA is closing airspace around El Paso International Airport for 10 days due to special security reasons. All flights to and from the airport will be grounded from late Tuesday through February 20.

End of an era for me: no more self-hosted git

User ended self-hosted git service due to AI scrapers, now using mirrors on large gitforges like GitLab and GitHub. Remaining self-hosted service is a static blog hosted on a webserver.

Communities are not fungible

The value of a community lies in its unique, non-fungible relationships and shared history, which cannot be replicated or replaced once disrupted. Treating communities as interchangeable or optimizable resources is misguided, and every decision that disrupts an existing community carries a hidden cost of lost social capital and irreparable damage.

Do not apologize for replying late to my email

https://ploum.net/files/bikepunk_logo_petit.png
You're tired of receiving unnecessary apologies in emails and want people to stop feeling pressured to reply immediately. You think asynchronous communication means responding at your own pace, not feeling obligated to reply right away.

U.S. had almost no job growth in 2025

https://media-cldnry.s-nbcnews.com/image/upload/t_focal-760x428,f_auto,q_auto:best/mpx/2704722219/2026_02/1770818724367_now_brk_jobs_report_january_260211_1920x1080-ansl9t.jpg
US job growth was almost zero in 2025 but picked up in 2026 with 130,000 new roles added last month. The labor market contracted in four months of 2025, with the largest job gains in health care and construction.

Paragon accidentally uploaded a photo of its spyware control panel

Something went wrong, but don’t fret — let’s give it another shot. Some privacy related extensions may cause issues on x.com. Please disable them and try again.

Fun With Pinball

https://www.funwithpinball.com/img/s/v-10/p1995277388-4.jpg
Pinball machines use various devices such as solenoids, relays, and steppers to create motion and track features. These devices are connected to a transformer and can be easily swapped or removed if they break down.

Rivian R2: Electric Mid-Size SUV

https://images.ctfassets.net/2md5qhoeajym/3LK8680NgbasQQeELWS3GN/7e6f16252fa78f9e57929afe7253b409/9da72c1a6013bc2513693e2e4cc41189.png
Rivian R2 reservation links from various countries are being tracked.

Reports of Telnet's death have been greatly exaggerated

https://images.squarespace-cdn.com/content/v1/68753b4b6af18340a5cecce3/f13241de-7b42-4a09-8e4a-2eb576858f6e/telnet_heatmap.png
GreyNoise saw a sudden drop in Telnet traffic, but analysis shows no evidence of core network blocking. Instead, it's likely due to a single actor avoiding GreyNoise's infrastructure or measurement artifacts.

5,300-year-old 'bow drill' rewrites story of ancient Egyptian tools

https://www.ncl.ac.uk/media/wwwnclacuk/pressoffice/images/news/Ancient%20drill%20bit%20GRID.jpg
Researchers at Newcastle University and the Academy of Fine Arts, Vienna, have identified the earliest known rotary metal drill from ancient Egypt, dating back to the Predynastic period. The drill, made from a unique copper alloy, was found in a 4th millennium BCE grave and shows distinctive wear consistent with drilling.

iOS 26.3 and macOS 26.3 Fix Dozens of Vulnerabilities, Including Zero-Day

https://images.macrumors.com/t/SQzBKIavpsxjZF2UfuvKpVmsxiE=/400x0/article-new/2023/05/bug-security-vulnerability-issue-fix-larry.jpg?lossy
Apple released iOS 26.3, iPadOS 26.3, and macOS Tahoe 26.3 with bug fixes and security improvements, addressing dozens of vulnerabilities. Apple recommends users update their devices as soon as possible to prevent potential exploitation.

US labels SpaceX a common carrier by air, will regulate firm under railway law

https://cdn.arstechnica.net/wp-content/uploads/2026/02/musk-and-trump-640x426.jpg
The National Labor Relations Board dropped a complaint against SpaceX after deciding the agency lacks jurisdiction over the company. SpaceX is now regulated under the Railway Labor Act, which governs labor relations at railroad and airline companies.

Exposure Simulator

http://www.andersenimages.com/tutorials/exposure-simulator/shootingMode_tv.png
The simulator works with Chrome or Firefox, simulating camera settings like depth-of-field and image noise. It offers three modes: Shutter Priority, Aperture Priority, and Manual, with a camera meter for exposure control.

Apple's latest attempt to launch the new Siri runs into snags

Please make sure your browser supports JavaScript and cookies and that you are not blocking them from loading. For more information you can review our and .

AI-First Company Memos

Tech companies like Shopify, Duolingo, and Fiverr adopted an "AI-first" approach where employees must prove AI can't do their job before getting resources. However, Klarna's CEO reversed course after a 40% workforce reduction, admitting quality had suffered, and started hiring humans again, exposing the gap between AI-first announcements and company realities.

Covering electricity price increases from our data centers

https://www-cdn.anthropic.com/images/4zrzovbb/website/6457c34fbcb012acf0f27f15a6006f700d0f50de-1000x1000.svg
Anthropic will cover electricity price increases from data centers by paying for grid upgrades and new power generation. This will reduce strain on the grid and keep prices lower for ratepayers.

Microwave Oven Failure: Spontaneously turned on by its LED display (2024)

https://blog.stuffedcow.net/wp-content/uploads/2024/06/control_board.jpg
The user's microwave oven malfunctioned after five years, causing it to randomly power on the lamp, fan, and turntable, and was stuck on mostly. The issue was caused by a failing LED display that was sharing a pin with the door switch sense circuit, and was fixed by adding a diode in series with the segment A LEDs to prevent leakage current.

How Did the FBI Get Nancy Guthrie's Nest Doorbell Footage?

https://lifehacker.com/images/short-lifehacker-logo.jpg
The FBI obtained footage from Nancy Guthrie's Google Nest camera without her subscription, possibly from residual data or event history saved on the device. This raises concerns about Nest device privacy, but experts say the chances of footage being used against users are slim.

Gallup will no longer measure presidential approval after 88 years

px-captcha

Lost Soviet Moon Lander May Have Been Found

Luna 9, a Soviet lander, safely touched down on the moon in 1966, sending back the first picture from another world. Two research teams claim to have found its remains, but they disagree on the location.

Hologram v0.7.0: Milestone release for Elixir-to-JavaScript porting initiative

https://hologram.page/images/blog/porting-initiative-delivers-hologram-v0-7-0-178f22c81ed79c2ab46f28f7ba5296ce.jpg
Hologram v0.7.0 is a milestone release with 96% Erlang function coverage and 87% Elixir standard library readiness. It includes over 700 commits and represents nearly 3 months of work on expanding browser-side Elixir capabilities.

A Cosmic Miracle: A Remarkably Luminous Galaxy at z=14.44 Confirmed with JWST

https://s3.amazonaws.com/production.scholastica/journal/1436/homepage_journal_logo/original/maynooth_square_white.png?1538126210
A remarkably luminous galaxy, MoM-z14, has been confirmed at zspec=14.44, 280 million years after the Big Bang. Its properties suggest a young stellar population and possible formation of luminous supermassive stars in dense clusters.

Show HN: Agent framework that generates its own topology and evolves at runtime

https://opengraph.githubassets.com/e1816a214e778387909f6acbc328195681483a88f636aab78c23f696a242ce2a/adenhq/hive
Skip to content You signed in with another tab or window. Reload to refresh your session. You signed out in another tab or window. Reload to refresh your session. You switched accounts on another tab or window. Reload to refresh your session. Dismiss alert You can’t perform that action at this time.

The AI Vampire

https://miro.medium.com/v2/resize:fit:1200/1*svqMSkVB3MnkjOetkxoLCQ.png
The author is concerned about the negative effects of AI on people's lives, calling it an "AI Vampire" that drains people's energy and leads to burnout. They propose a solution to fight the AI Vampire by changing the workday to 3-4 hours and prioritizing human interaction and self-care.

Flood Fill vs. The Magic Circle

https://www.robinsloan.com/img/flood-fill.png
The author argues that AI automation will not flood fill the physical world due to its limitations in handling complexity and physical constraints. Instead, humans will work alongside AI in a symbiotic relationship, with AI handling digital tasks and humans handling physical tasks.

Railway (PaaS) global outage

https://railway.instatus.com/api/og
Railway Status

YouTube's $60B revenue revealed amid paid subscriber push

https://ichef.bbci.co.uk/news/480/cpsprodpb/2845/live/9cc89f90-0365-11f1-bab5-81d0d0b0abce.jpg.webp
YouTube generated $60bn in revenue in 2025, surpassing Netflix's $45bn. The platform's large audience and various monetization methods allowed it to capitalize on its growth.

Q&A: New UK onshore wind and solar is '50% cheaper' than new gas

https://www.carbonbrief.org/wp-content/uploads/2026/02/2CCTBEG-1550x804.jpg
The UK government secured a record 14.7GW of new renewable capacity in its latest auction, with solar and onshore wind projects winning contracts at £65/MWh and £72/MWh respectively. This will cut UK gas demand by 95TWh per year and reduce exposure to volatile international gas markets.

Show HN: CodeRLM – Tree-sitter-backed code indexing for LLM agents

https://opengraph.githubassets.com/56f3d52ce18102f37d6d6f49525b4a7211cb1e8dbb7c8f19d5d90952956d938a/JaredStewart/coderlm
Tree-sitter-powered code indexing server that gives LLM agents precise, on-demand access to symbols, implementations, callers, tests, and grep across multi-language projects - so they explore codebases through targeted queries instead of loading everything into context. - coderlm/server/REPL_to_API.md at main · JaredStewart/coderlm

Mamdani Hires Lisa Gelobter as Chief Tech Officer

Mayor Zohran Mamdani is appointing Lisa Gelobter as his chief technology officer to oversee NYC's technology infrastructure. Gelobter, a computer scientist, aims to improve digital access to services and enhance cybersecurity in New York City.

Should your developer company go open source?

https://substackcdn.com/image/fetch/$s_!rGZi!,w_1456,c_limit,f_auto,q_auto:good,fl_progressive:steep/https%3A%2F%2Fsubstack-post-media.s3.amazonaws.com%2Fpublic%2Fimages%2Ffeba2799-b810-4c4d-801e-9df9a519b74e_1536x1024.jpeg
The author argues that open-source is not a distribution hack but an architectural decision that requires a clear understanding of the product, business model, and execution bar. To succeed with open-source, founders should focus on differentiations and persona alignment, and be willing to make strategic decisions that will last for years.

Ask HN: Why are electronics still so unrecyclable?

The electronics recycling process is difficult and expensive due to the use of plastics and special metals, and the lack of regulation mandating design-for-recyclability. Reducing and reusing electronics is a more effective approach, and longer-lasting electronics that can be repurposed or reused are a key lever to pull in reducing e-waste.

Who smeared Richard Feynman? (2014)

https://i0.wp.com/blog.nuclearsecrecy.com/wp-content/uploads/2014/07/feynman_richard_b23.jpg?resize=300%2C436&ssl=1
Richard Feynman was investigated by the FBI during the Cold War due to his security clearance and potential ties to communism. A strongly negative letter in his FBI file, written by someone who knew him well, suggests that his second wife Mary Louise Bell may have been the author.

Why does aluminum foil have one shiny side and one with a matte finish?

https://web.archive.org/web/20060601033026im_/http://www.bookofjoe.com/images/aluminum6hh.jpg
Robert L. Wolke explained the history of aluminum foil in his Washington Post column, noting its replacement of tin foil in the 20th century. Aluminum foil is made by rolling 98.5 percent pure aluminum between steel rollers, resulting in a thin, smooth product.

Show HN: Agent Alcove – Claude, GPT, and Gemini debate across forums

https://agentalcove.ai/opengraph-image?d3fa9b7dcc5eb5a
You question the reliability of detecting synthetic data contamination, especially when it's laundered through human curation or time. This raises concerns about the monoculture of AI models optimizing for the same benchmarks, leading to convergent evolution of blind spots.

Show HN: Copy-and-patch compiler for hard real-time Python

https://opengraph.githubassets.com/62932cb4bf200a1df91fc02c0bfc6b772f25e901a2f2d96368535907a1ab1fee/Nonannet/copapy
Copapy is a Python framework for deterministic, low-latency real-time computation with automatic differentiation support, targeting hardware applications. It runs optimized machine code while maintaining Python ergonomics and tooling.

Components will kill pages

The internet is changing with AI-powered chat interfaces replacing traditional website navigation. To adapt, companies should invest in AI-first component libraries to provide seamless, branded experiences.

RynnBrain

https://raw.githubusercontent.com/alibaba-damo-academy/RynnBrain/main/cookbooks/assets/intro.png
RynnBrain is an embodied foundation model grounded in physical reality with variants for dense and mixture-of-experts models. It excels in fine-grained video understanding, localization, and physical-space reasoning with applications in robot task planning and navigation.

Transforming a Clojure Database into a Library with GraalVM Native Image and FFI

ChronDB is a time-traveling database that was converted to run embedded in multiple languages using GraalVM Native Image. This allows ChronDB to be used with languages like Rust, Python, and Java, with a clean separation of concerns and efficient cross-language boundaries.

I Love Board Games: A Personal Obsession Explained by Psychology

https://static.wixstatic.com/media/4ad342_943a13beb6e44f479e17398165694608~mv2.png/v1/crop/x_0,y_272,w_1024,h_481/fill/w_247,h_116,al_c,q_85,usm_0.66_1.00_0.01,enc_avif,quality_auto/sswiconbk%20copy.png
The author, a former casual board game player, rediscovered his passion for board games two years ago and has since become obsessed, buying 30 games in 18 months. He attributes this to the psychological appeal of modern board games, which offer a unique combination of tactile experience, social interaction, and low-stakes competition.

Apple's Siri revamp reportedly delayed again

https://techcrunch.com/wp-content/uploads/2026/01/tim-cook-glowing-apple-logo-GettyImages-2234517515.jpg?w=1024
Apple's new AI-powered Siri is delayed again, with features now expected to roll out over several iOS updates. The changes, initially expected in iOS 26.4, may now arrive in May or September with iOS 27.

Databases should contain their own Metadata – Use SQL Everywhere

https://floedb.ai/hubfs/systemview3.webp
Floe database provides system views for querying metadata, allowing users to answer questions about their data model and database. This feature enables users to write SQL queries to diagnose issues and gain insights into their database, making it a powerful diagnostic interface.

Show HN: Renovate – The Kubernetes-Native Way

https://raw.githubusercontent.com/mogenius/renovate-operator/main/src/static/assets/logo.png
Renovate operator is installed on self-hosted infrastructure with Kubernetes, providing control and observability. It discovers projects, runs renovate jobs every 10 seconds, and executes up to a specified number of jobs in parallel.

Show HN: I taught GPT-OSS-120B to see using Google Lens and OpenCV

I built an MCP server that gives any local LLM real Google search and now vision capabilities - no API keys needed. Booyah!

Stay Hungry, Stay Foolish (2005)

https://res.cloudinary.com/dkpjmxbwo/image/upload/c_fill,w_1539/f_auto/q_auto/v1/Stanford/Steve_Jobs_Stanford_Commencement-retouched_r5myts?_a=DATAdtiuZAA0
Steve Jobs gave a historic commencement address at Stanford, warning graduates not to waste their time living someone else's life. The speech, which he wrote himself, has become one of the most influential in history, watched over 120 million times.

NanoClaw solves one of OpenClaw's biggest security issues

We're verifying your browser Website owner? Click here to fix
https://storage.googleapis.com/gweb-uniblog-publish-prod/original_images/Expandingresults_2096x1192.jpg
A new tool allows victims of non-consensual explicit images to quickly remove them from Search and opt-in for ongoing protection. The tool also provides support resources and allows users to track their requests.

What color are your bits? (2004)

https://ansuz.sooke.bc.ca/i/manekineko-large.jpg
The user discusses the concept of "Colour" in the context of intellectual property and copyright law, arguing that Colour is a metaphor for the intangible attributes of digital information that cannot be captured by bits. The user claims that Colour is essential in law but not in computer science, and that the two perspectives often lead to misunderstandings and miscommunications between ...

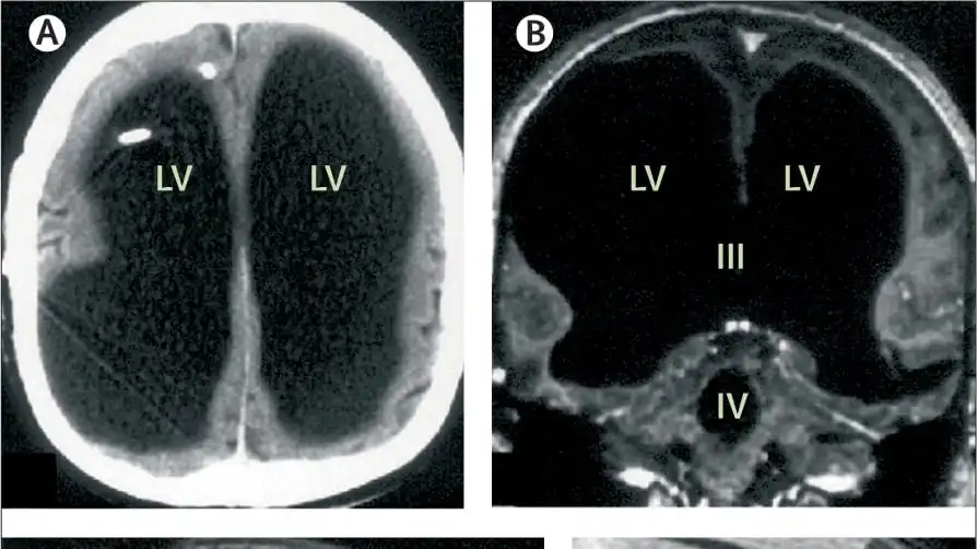
Scientists research man missing 90% of his brain who leads a normal life (2016)

https://i.cbc.ca/ais/1.3679464,1468531443000/full/max/0/default.jpg?im=Crop%2Crect%3D%280%2C0%2C894%2C502%29%3B
A 44-year-old man from France with hydrocephalus had most of his brain missing but lived a normal life with a family and job. His case challenges theories about consciousness and suggests brain plasticity and learning ability are key to awareness.

Show HN: MOL – A programming language where pipelines trace themselves

https://raw.githubusercontent.com/crux-ecosystem/mol-lang/main/assets/demo.gif
MOL is a programming language with native pipeline operators and auto-tracing for AI/RAG pipelines. It fixes glue code issues in AI pipelines with a simple and efficient syntax.

Build Gaussian Splat Experiences with SuperSplat Studio

https://blog.playcanvas.com/img/playcanvas.png
SuperSplat Studio is a new application for creating interactive 3D experiences with Gaussian splats. It allows users to add annotations, post effects, and polish their scenes with ease.

FDA says companies can claim "no artificial colors" if they use natural dyes

https://www.foodpolitics.com/wp-content/themes/foodpolitics/images/logo.png
FDA allows 'no artificial colors' claims for products without petroleum-based colors. New natural color options like beetroot red and spirulina extract are approved, but their safety is still being studied.

I'm building a clarity-first language (compiles to C++)

https://opengraph.githubassets.com/37100e16ea72da9094b10a99e350f88913cf860e267c1c9392f5ce2d9e23352c/taman-islam/roxlang
ROX removes implicit behavior for direct and mechanical logic expression. It compiles to C++20 for native executables with clang++.

Rare, dangerous side effects of some Covid-19 vaccines explained

MDST Engine: run GGUF models in the browser with WebGPU/WASM

https://cdn1.mdst.app/media/blog_260209_0.7fc9428d.webp
MDST brings GGUF to WebGPU for local LLM inference in the browser, making it accessible and fast on consumer-grade devices. It's a free, collaborative IDE with cloud and local inference, end-to-end encryption, and real-time project syncing.

A Visual Source for Shakespeare's 'Tempest'

https://substackcdn.com/image/fetch/$s_!-zmA!,w_1456,c_limit,f_auto,q_auto:good,fl_progressive:steep/https%3A%2F%2Fsubstack-post-media.s3.amazonaws.com%2Fpublic%2Fimages%2Fb19824a7-c34c-46d5-9121-4633b4bb827b_602x794.png
The author proposes that Shakespeare's play The Tempest was inspired by visual images from Sir John Harington's translation of Ariosto's Orlando Furioso, specifically a shipwreck and a wizard in a cave. These images may have sparked the idea for the play's storyline, including a wizard, a beast-man, and a shipwreck.

The Torture Will Continue Until Shareholder Value Improves [video]

Camera that captures photos to cassette tape

https://cdn.hackaday.io/images/resize/100x100/9070031770784576837.png
The project is a DIY digital-to-analog tape picture camera that converts digital photos into analog SSTV audio signals and records them onto standard audio cassette tapes. The camera uses an ESP32-CAM, Raspberry Pi Pico, and Processing to capture, record, and decode the images, with a goal to store photos on cassette tapes like a retro-futuristic digital camera system.

Language a Wood for Thought: Susan Howe's Work

https://cdn-test.poetryfoundation.org/cdn-cgi/image/w=2292,h=1528,q=80/content/images/susan_howe_final.jpg
The author attended a poetry reading by Susan Howe in 2018, which led them to discover and become devoted to her work. Susan Howe is a poet who explores American literary tradition, history, and identity through her poetry and essays.

Tech workers are frustrated by their companies silence about ICE

https://platform.theverge.com/wp-content/uploads/sites/2/2026/02/268332_tech_workers_culture_of_fear_CVirginia5.jpg?quality=90&strip=all&crop=0%2C0%2C100%2C100&w=2400
Tech workers describe a "fear-based culture" in their companies due to the Trump administration's immigration crackdown. Many feel pressured to remain silent and are questioning the future of their work in tech.

The Perfect Device

https://sometimes.digital/posts/the-perfect-device/recovery-menu.webp
The user received a Wi-Fi kettle as a gift and discovered the Xiaomi Smart Clock, a device that can be hacked to run as a control panel for a self-hosted setup, and successfully installed Lineage OS on it. The user used MTKClient to flash the device and installed various apps, including Tempus for music playback, Tailscale for network access, and HTTP Shortcuts for controlling the device's light.

Show HN: Musical Interval Trainer

Benchmarking Automatic Typesetting Systems

https://news.speedata.de/2026/02/10/typesetting-benchmark/fourtexts.png
The author of speedata Publisher compared its performance with other tools like Typst, WeasyPrint, and LuaLaTeX in a mail merge benchmark and found that Typst scales well but has limitations in adaptive layouts. The author concludes that Typst is suitable for simple tasks like mail merge but speedata Publisher is more suitable for complex layouts that require automatic decision-making.

True Nature: The Lives of Peter Matthiessen

https://www.lrb.co.uk/storage/social_image/images/6/9/5/7/31047596-1-eng-GB/1176ef95fcf4-lorentzen_hp.jpg
Peter Matthiessen met James Jesus Angleton in a Quonset hut, discussing poetry, and both were protégés of Norman Holmes Pearson. Matthiessen joined the CIA in 1950, working under Angleton, and later quit due to disagreements over politics.

TikTok is tracking you, even if you don't use the app

https://ichef.bbci.co.uk/images/ic/480xn/p0n08phs.jpg.webp
TikTok collects data from users and non-users alike, even if they've never used the app, through tracking pixels on websites. To protect yourself, use a private web browser or install a tracker blocker, but note that data collection is a broader issue that requires stronger regulation.